[Free Full Article] Orthodontics and dental management in achondroplasia
Dental management in achondroplasia is a subject that I consider quite relevant, although few things have been published about this theme.
Orthodontics and dentofacial orthopedic abnormalities can cause speech and respiratory alterations and pathology. While "general" dentists can provide orthodontic treatment along with other treatments for teeth like filling, cleaning and crowns, orthodontists are concerned with the study and treatment of malocclusions, that are related to improper bites, which may be a result of tooth irregularity and/or disproportionate jaw relationships.
Malocclusion is not a disease, but abnormal alignment of the teeth and the way the upper and lower teeth fit together. The prevalence of malocclusion varies, but using orthodontic treatment indices, which categorize malocclusions in terms of severity, it can be said that nearly 30% of the population presenting malocclusions severe enough would benefit from orthodontic treatment."
Malocclusion can also originate mouth breathing, that may cause deformities on the dental arch and be a risk factor for caries and periodontal disease. Then, fixed orthodontic appliances will aggravate the problem.
I found a very interesting case study article, A. Al-Jobair, Department of Pediatric Dentistry and Orthodontics, College of Dentistry, King Saud University, 2010, and I will highlight the most important parts of it. This is a case study, of an 11 year-old girl.
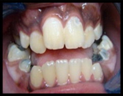
"The patient appeared to be well-adjusted, healthy and intelligent but had speech difficulty. She was 100â cm tall at the initial visit. Extra-oral examination revealed classical manifestations associated with achondroplasia such as short stature, short stubby trident hands, frontal bossing, saddle nose, severe midface hypoplasia and incompetent lips. Mouth breathing, interlabial gap of about 12 mm at rest and hyperactive mentalis were noticed. Lip closure was not possible without muscle strain. A concave facial profile was also noticed, however the mandible appeared normal and the chin was not prominent.
The mandible is the lower jaw and the maxila the upper jaw.
The referred craniofacial aspects (in bold) can be reduced with specific training of speech therapy.
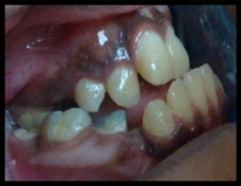
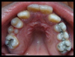
Intraorally, macroglossia tongue-thrust swallowing pattern, generalized gingivitis, posterior crossbite, anterior openbite (same as malocclusion) and anterior reversed jet were observed. She had dental class III molar relation with crowding (one of the more common dental complication in achondroplasic patients) at the maxillary anterior region. Patient had mixed dentition: the size, number and form of teeth were normal with multiple carious lesions and restorations. Eruption of teeth was compatible with the chronological age. Panoramic radiograph showed complete number of permanent teeth including third molars with normal development, crowding at the upper canine and molar regions. Cephalometric analysis of the lateral skull radiograph revealed that maxilla was severely retrognathic (the abnormal positioning of the maxilla or mandible, when pushed back, relative to the facial skeleton and soft tissues), with normal position of the mandible, decreased upper facial height, increased lower facial height and a skeletal class III jaw relation. Dentally, the maxillary incisors were proclined and the mandibular incisors were normally inclined. Caries risk was assessed. Treatment plan was formulated to extract all carious primary teeth and to restore all carious permanent teeth. Dental treatment was performed as planned under local anesthesia and the patient was cooperative. The patient was put under recall program every 3 months
The orthodontic assessment does not have a described timeline for children with achondroplasia but the first evaluation could be done around 6 years old.





