Deformidades del codo en la acondroplasia
La anatomía del codo de un niño con acondroplasia tiene características distintivas. En este contexto, encontré un estudio muy interesante: "Deformidades del codo en la acondroplasia (Deformities of the elbow in achondroplasia)", publicado por Hiroshi Kitoh et al, 2002, Universidad de Nagoya, Japón. Es bastante esclarecedor. En este contexto revisé varias imágenes de rayos X de niños sanos para compararlas con las de este estudio.
"Las deformidades del codo son particularmente significativas en el diagnóstico de niños pequeños con acondroplasia. Bailey JA (Elbow and other upper limb deformities in achondroplasia - Deformidades del codo y de otras extremidades superiores en la acondroplasia. Clin Orthop 1971; 80: 75-8) revisaron los hallazgos clínicos y radiológicos en 41 pacientes y describieron diversas deformidades de la extremidad superior incluyendo:
- pérdida de extensión,
- supinación o pronación limitada,
- cabeza radial prominente,
- cúbito corto
- cúbito varo
El déficit de extensión fue el más frecuente, estando presente en 38 de los 41 pacientes (92,7%). Sólo tres tuvieron extensión completa. Bailey también observa que la pérdida de extensión aumenta con la edad. El número de codos con esta deformidad en nuestra serie fue menor (68.3%) y es probablemente un reflejo de la relativa juventud de nuestros pacientes. Incluso los 13 codos sin un déficit de extensión pueden representar una leve deformidad, ya que la mayoría de los adolescentes y bebés normales tienen alguna hiperextensión de la articulación.

| Articulación sana de un niño. Créditos: Wikiradiography. |

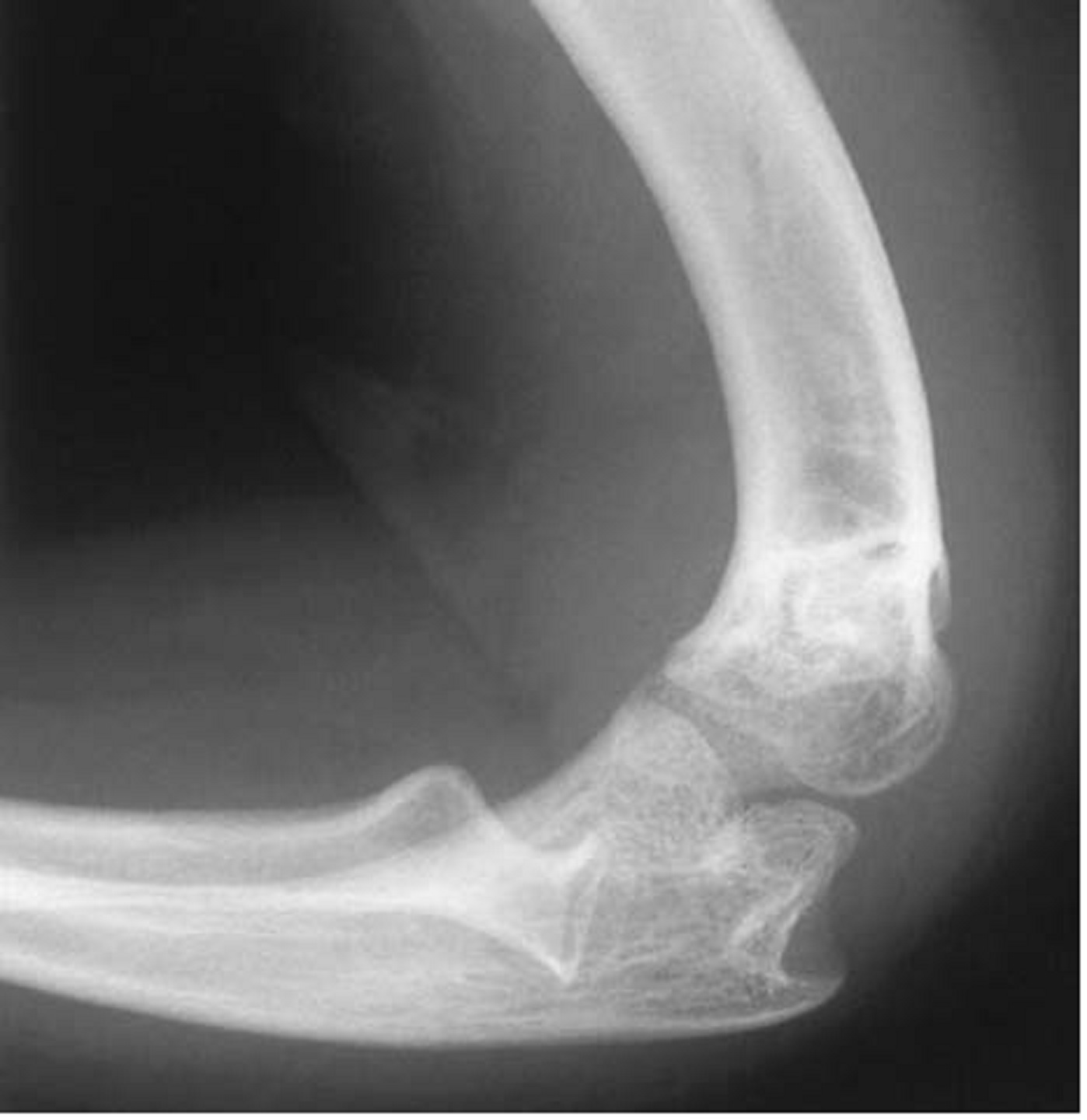
| Deformidades del codo en la acondroplasia. Radiografía lateral del codo de una niña de ocho años con acondroplasia. Se observa arqueamiento posterior del húmero distal y dislocación posterior de la cabeza del radio. Créditos: Hiroshi Kitoh et al, 2002. |
La inclinación posterior de la porción distal del húmero fue una anomalía radiológica constante y cuando fue mayor a 20° dio lugar a una pérdida en la extensión. En este estudio hay una nota bastante relevante: la restricción en la extensión del codo, incluso cuando la función del hombro es normal, puede causar deterioro funcional de un brazo corto.
Recientemente, se ha realizado un alargamiento quirúrgico del húmero para mejorar la función del brazo y las actividades de la vida diaria en pacientes con brazos cortos bilaterales. Cuando se alarga el húmero de un paciente con acondroplasia, se debe tener en cuenta la deformidad por flexión y corregirla simultáneamente.
Bailey afirmó que las deformidades de la cabeza del radio, con o sin dislocación, eran normalmente la causa de la pérdida de la extensión. Nuestro estudio proporciona evidencia adicional para vincular la dislocación con una pérdida más grave de la extensión completa. El cóndilo humeral hipoplásico observado en la acondroplasia sugiere que la dislocación es congénita.
Un cúbito pequeño en los antebrazos y un peroné más largo en las extremidades inferiores son hallazgos radiológicos comunes, probablemente como resultado de tasas de crecimiento desiguales. El crecimiento excesivo del radio, cuando se asocia con una longitud reducida del cúbito, puede provocar una dislocación congénita de la cabeza del radio.
El defecto significativamente más pequeño en la extensión en presencia de una inclinación posterior en aquellos pacientes sin dislocación, sugiere que las estructuras de los tejidos blandos alrededor del codo pueden ser laxas, como se observa en otras articulaciones en la acondroplasia.
La deformidad del codo tiene similitudes con lo que ocurre en el genu varus en la acondroplasia.

